
Going in for a close look at lung infections
Sampling various regions of cystic fibrosis patients’ lungs before and after treatment with new drugs called modulators revealed the unexpected.Media Contact: mediarelations@uw.edu

A new study meticulously sampled different lung regions in people with cystic fibrosis to understand why infections persist after new treatments
The research report was published Aug. 5 in Cell Host & Microbe, a Cell Press scientific journal.
Cystic fibrosis causes the buildup of sticky mucus that traps bacteria. Over time, infections damage the lungs.
Despite receiving new drugs called modulators that treat the underlying cause of cystic fibrosis, most people with this genetic condition remain infected with the bacteria they had before treatment.
“Modulators are amazing new treatments that have really improved people’s quality of life,” said Samantha Durfey, a former postdoctoral scholar at the University of Washington School of Medicine and the project’s lead researcher. “However, infections manage to stick around, even with the best modulator, and we need to understand why.”

Doctors’ understanding of diseases is often limited by the samples they can get. For example, lung or kidney infections involve studying phlegm or urine. But what if they could go inside human organs to measure disease in different areas and see how they respond to treatment?
Researchers at the UW School of Medicine and the University of Iowa did just that.
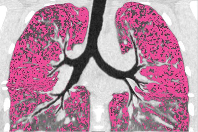
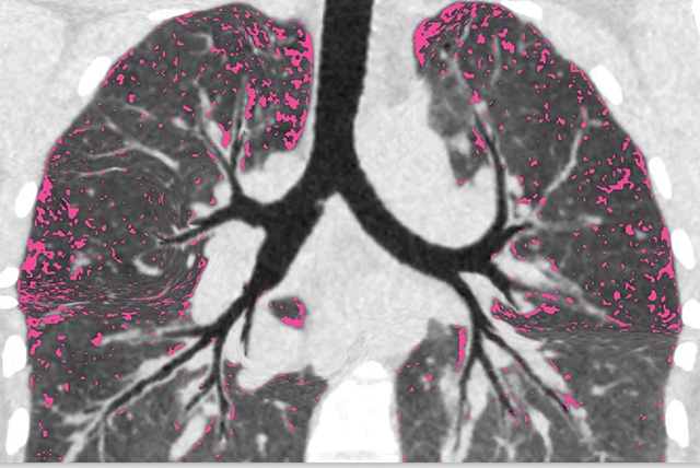
Before the study participants were started on modulators, the researchers went into patients’ lungs with thin cameras called bronchoscopes. They sampled regions that differed in the amount of damage, infection and inflammation. They then revisited the same lung areas a year after treatment to see where infection remained and what lung characteristics were linked to persistent infection.
“A leading idea in the field is that patients remain infected because highly damaged lung regions can’t clear the infection, similar to how damaged tissues in wounds get infected,” said UW Medicine pulmonologist Dr. Sid Kapnadak, who led lung sampling for the study. “If a similar process is responsible for persistent CF lung infections, research can focus on these areas.”
“What we found was a surprise, and there was good and not so good news,” said Durfey. “The good news was that, when infections cleared, lung inflammation almost completely resolved. Thus, future lung damage could be lessened in people who clear.”
Durfey continued: “However, people who remained infected had infection and inflammation everywhere we looked, including lung areas with very little damage.”
These findings suggest damage might not be the main cause of infection persistence and raise concern that lung function in people with bacterial infection could continue to deteriorate.
“Now we have to understand how infection can persist in all areas of the lungs,” said Dr. Pradeep Singh, a UW Medicine pulmonary care physician who is also a professor of medicine and of microbiology at the UW School of Medicine. He is the senior researcher on the team. “The bacteria may adapt in new ways to resist clearance even when the least damaged lung regions are treated with the best drugs we have.”
The researchers are also exploring other possibilities.
“The previous idea about highly damaged lung regions being the culprit may be partially correct,” said Alison Feder, UW assistant professor of genome sciences and co-investigator. “Bacteria could disseminate from these areas and spread to undamaged areas.”
“We’ve made progress by looking inside infected lungs,” said Durfey, “but there is still a lot we don't understand.”
This study was funded by the Cystic Fibrosis Foundation (grants SINGH19KO, SINGH24RO, ESTHER22Y2-SVC, ESTHER24RO), National Institutes of Health (RO1HL160710, P30DK089507) and National Heart, Lung, and Blood Institute (P30DK065988).
For details about UW Medicine, please our About page.