
New biomarker could inform care for Merkel cell carcinoma
Research helps explain why some patients respond to immune checkpoint inhibitors, which have improved survival in clinical trials.Media Contact:
- Fred Hutch: Heather Platisha - 206-667-2210, hplatisha@fredhutch.org
- UW Medicine: Brian Donohue - 206-543-7856, bdonohue@uw.edu

New work from two teams of scientists at Fred Hutchinson Cancer Center and the University of Washington School of Medicine reveal a biomarker that predicts which patients with the aggressive skin cancer Merkel cell carcinoma will respond to a type of cancer immunotherapy.
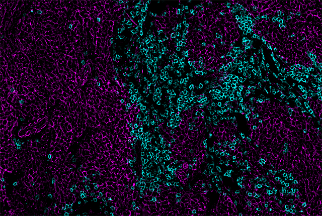
In papers (one, two) published Feb. 9 in Cell Reports Medicine, the researchers showed that it’s the frequency of anti-tumor immune cells in a Merkel cell cancer patient’s blood, not the tumor, that predicts whether their tumor will respond to immune checkpoint inhibitors. The findings are a step toward the development of a clinical test that could someday guide treatment of the disease.
“These data have implications for how we manage patients, both in making early treatment decisions, and how we overcome nonresponse,” said Fred Hutch and UW Medicine dermatologist Dr. Paul Nghiem, who treats patients with Merkel cell cancer and works to develop better therapies. He and Fred Hutch immunologist Evan Newell, led the teams that independently uncovered the biomarker.
Because these cells are also the cells that immune checkpoint inhibitors help fight cancer, the results also suggest strategies scientists could use to improve patients’ chances of responding to these drugs, the researchers said. One potential treatment, in which patients receive immune cells called T cells that have been genetically engineered to help attack their tumor, are already being tested in clinical trials.
Known as adoptive cell therapies, these engineered immune cells “could increase the number of anti-tumor T cells in the blood,” said graduate student Saumya Jani, who helped spearhead the Nghiem Lab project during the PhD portion of her medical scientist training program. “This would allow the immune checkpoint inhibitors to do their job: keep these cells in healthy, fighting shape and lead to disease regression.”
The research was supported by National Cancer Institute funding (P01 CA225517, P30 CA015704) and by the Kelsey Dickson Team Science Courage Research Award.
Written by Sabrina Richards. Read the full news release on the Fred Hutch Cancer Center website.
For details about UW Medicine, please our About page.