
Search on for better way to diagnose and treat lung cancer
A five-year, $2.7 million grant from the National Cancer Institute will help provide answers.Media Contact: Leila Gray, 206.475.9809, leilag@uw.edu

The goal: Improve survival rates for lung cancer patients.
The question researchers want to answer: Are there new ways to determine the best treatment for these patients?
This is what UW Medicine researchers hope to discover through a five-year, $2.7 million grant from the National Cancer Institute.
“Diagnostic tests have known error rates,” said Dr. Farhood Farjah, associate professor of surgery, Division of Cardiothoracic Surgery, and associate medical director of the Surgical Outcomes Research Center at UW Medicine.
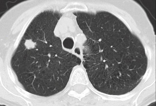
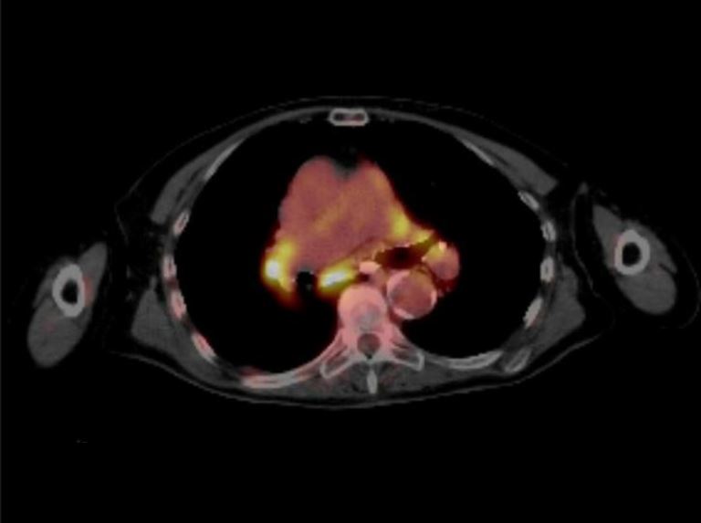
CT and PET scans both have false positives and negatives, he said. So if physicians rely on imaging alone, the cancer's stage, or determination of whether the disease has spread, might be classified incorrectly. That misclassification can inadvertently result int providing patients with either the wrong or less-than-optimal treatments, he said.

For example, understaging can lead to unnecessary surgery or omission of chemotherapy. Overstaging can lead to unnecessary chemotherapy and omission of surgery. Either can lead to lower survival rates.
Biopsies on lymph nodes in the chest can reduce these errors. But they also can have drawbacks, including false negatives and procedure-related risks such as a collapsed lung, Farjah said.
While there are guidelines that help clinicians determine when to do biopsies, the evidence “is admittedly low,” he said.
“As well intentioned as the guidelines are, there are many smart clinicians who will question and deviate from them,” Farjah said. Yet some patients who need biopsies aren’t getting them when they are necessary, he said.
“The hallmark of clinical and scientific uncertainty is inexplicable variability in care,” he added.
When biopsies are needed, they help determine the next steps in treatment, such as surgery, radiation and chemotherapy.
Farjah and other researchers think that the path to a better diagnosis may lie in a micro statistical analysis with maximized safeguards to protect patient confidentiality. This would be conducted on 4,000 lung cancer patient records from Kaiser Permanente Northern California and Marshfield Clinic in Wisconsin.
Other medical systems and universities participating in the research are Medical University of South Carolina, and Kaiser Permanente Bernard J. Tyson School of Medicine.
Within UW Medicine, collaborators on the project include experts in thoracic surgery, pulmonary medicine, radiology, medical and radiation oncology, biostatistics and health economics. The researchers are looking for trends in patient treatments, survivability rates and whether current treatment guidelines were followed.
The study will test a risk prediction model that estimates the probability that a patient actually has cancer that has spread to the lymph nodes. If proven useful, this model might guide decisions on whether to conduct a biopsy. The analytic tool will estimate outcomes under different treatment scenarios. Researchers will test if this tool works just as well as current guidelines for predicting long-term survival while also reducing the number of unneeded biopsies. The study also will determine if the statistical model can accurately predict the best treatment options.
“Where we can do better is doing fewer procedures on people who ultimately will not have any nodal disease,” Farjah said.
“Getting the right treatment is the best strategy for best outcomes,” he said, including long-term survival and providing a good quality of life.
While advances in screening and treatments often receive national attention, getting the correct staging of cancer “never feels like it gets enough of the spotlight,” Farjah said.
“Sometimes the most important things in our lives are right in front of us,” he said. “We’re just not paying attention.”
The grant number for this National Cancer Institute-funded project is R01CA258351-01A1.
Some state statistics on lung cancer: In Washington 26% of patients are alive five years after being diagnosed with lung cancer, according to the American Lung Association, although early detection significantly increases that to 60%. Asian Americans or Pacific Islanders in Washington are least likely to be diagnosed early, according to the 2021 study.
Written by Sharon Salyer
For details about UW Medicine, please our About page.
Topics:biopsylung cancer